80 лет Великой Победе!
uzaomos.news
ОБЩЕСТВО
ЖКХ
ПРОИСШЕСТВИЯ
ВЛАСТЬ
СТРОИТЕЛЬСТВО
ТРАНСПОРТ
КУЛЬТУРА
ЭКОНОМИКА И БИЗНЕС
ОБЩЕСТВО
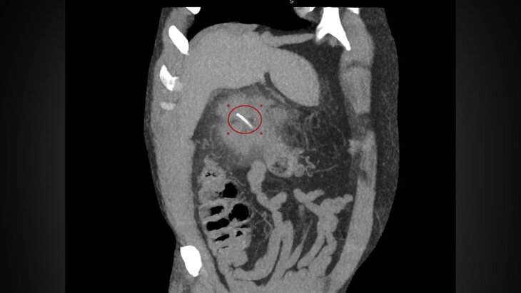
Подмосковные врачи спасли мужчину, которому рыбья кость проткнула кишечник
7 марта 2025
7 марта в Москве стало самым теплым днем с начала года
7 марта 2025
Пекин и Киев подписали протоколы о поставках украинской сельхозпродукции в Китай
7 марта 2025
Режим повышенной готовности введен в Ростовской области из-за угрозы ЧС
7 марта 2025
Мировая торговля кофе оказалась парализована из-за резкого роста цен – СМИ
7 марта 2025
Вопрос о поддержке Украины встретили на саммите ЕС гробовым молчанием – СМИ
7 марта 2025
ГК «РОЛЬФ» добавляет мототехнику в свою экосистему
7 марта 2025
Хинштейн сообщил о получении одной из высших наград Росгвардии
7 марта 2025
Польский волейбольный клуб "Сувалки" снялся с турнира в Дубае из-за россиян
7 марта 2025
Директор Сергея Бурунова опровергла новости о его налоговой задолженности в 11 млн руб
7 марта 2025
Глава Американской торговой палаты назвал Москву самым безопасным мегаполисом
7 марта 2025
Сергей Собянин: город выделил гранты в сфере лечения онкозаболеваний у детей
7 марта 2025
Фотовыставка "Женщина: путь от мечты к вершинам" открылась в Москве
7 марта 2025
В Белоруссии запретили продажу батончика "Фруто няня" из-за диоксида серы
7 марта 2025
В Сирии продлили на два часа комендантский час в провинции Тартус – СМИ
7 марта 2025
В Москве восстанавливается популяция редких орхидей
7 марта 2025
Каждая третья опрошенная россиянка мечтает о гардеробных в 20–30 "квадратов"
7 марта 2025
Минэнерго Украины заявило о масштабном ударе по энергетической инфраструктуре
7 марта 2025
Уникальное огромное озеро обнаружили в Долине Смерти
7 марта 2025
Врач предупредила россиян о симптомах "весенней" аллергии
7 марта 2025
МВД предупредило россиян о вредоносном ПО на YouTube-каналах
7 марта 2025
Вооруженные силы Сирии входят в Латакию и Тартус для борьбы с ополченцами – СМИ
7 марта 2025
В ЕС разработали план по защите неба Украины от российских ракет – СМИ
7 марта 2025
В Совбезе РФ заявили, что USAID выделило около 5 млрд долларов на "майдан" в Киеве
7 марта 2025
Трамп заявил, что США хотели бы вести диалог с РФ и КНР о денуклеаризации
7 марта 2025
В Госдепе заявили, что Зеленский должен доказать серьезность намерений по урегулированию
6 марта 2025
Президент Южной Осетии госпитализирован с гипертоническим кризисом
6 марта 2025
Стилист перечислила самые выигрышные модели юбок
6 марта 2025
Мать Калюжного удивилась, узнав об уголовном деле против актера
6 марта 2025
Актер Калюжный покинул СК, не ответив на вопросы журналистов
6 марта 2025
Психолог предостерегла мужчин от планов сделать предложение девушке 8 марта
6 марта 2025
Погода в Москве 8 марта будет теплой и без осадков
6 марта 2025
Роспатент дал Shaman полгода на решение по бренду "Я русский"
6 марта 2025
Президент Абхазии заявил, что инвестсоглашение с РФ не реализуется в первоначальном виде
6 марта 2025
Захарова заявила о неприемлемости передышки на фронте для ВСУ
6 марта 2025
США лишат временного правового статуса около 240 тыс украинцев – СМИ
6 марта 2025
Генпрокуратура РФ подала иск к отстраненному владельцу "Главпродукта"
6 марта 2025
Лавров назвал приостановку помощи США Киеву возможностью быстро завершить конфликт
6 марта 2025
Сергей Собянин поздравил Валентину Терешкову с днем рождения
6 марта 2025
105
106
107
108
109